La bonne préparation d’une intervention dentaire vous permettra d’en obtenir les meilleurs résultats avec un minimum de désagréments.
Blog - Page 7
Garantir à chaque patient des soins de qualité, ceci dans le cadre d’une relation de confiance et de respect mutuel, est à la base de notre activité.
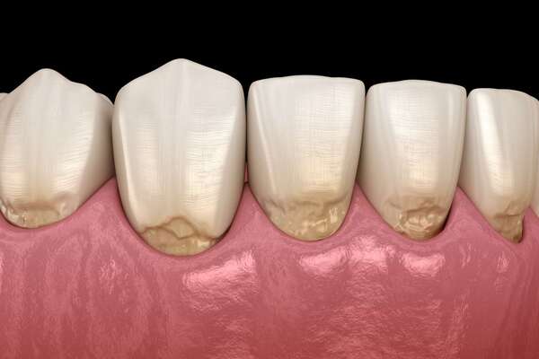
La mylolyse ou lésion cervicale d’usure se définit comme une perte de matière dentaire se localisant au collet de la dent.
Si le volume osseux d’une zone édentée s’est réduit, il sera alors proposé une greffe osseuse permettant ensuite la pose d’un implant.
Lors de la mise en place d’implants dentaires au niveau des molaires supérieures, le chirurgien est souvent confronté à un manque de volume osseux.
Les freins de la langue ou de la gencive sont des éléments en tissu fibreux situés sous la langue ou reliant la lèvre supérieure à la gencive.
Le rôle de l’assistant(e) dentaire peut prendre différentes formes, selon la structure du cabinet et le contenu du poste tel que prévu au départ
La mise en place d’implants dentaires nécessite une préparation approfondie, effectuée à l’aide de différents examens.
La méthode MIMI®-Flapless (Méthode d’Implantation Minimalement Invasive) désigne une technique de chirurgie implantaire sans ouverture de la gencive.
Oui bien sûr ! Ne serait-ce que pour garder le plus longtemps possible ce bon état dentaire.
Après la pose d’un implant dentaire, les suites opératoires (gêne, hématome, douleur éventuelle) sont prises en charge de manière adaptée à chacun.
Les interventions sont souvent suivies d’une gêne ou d’un inconfort. Des règles simples permettent de gérer au mieux les suites opératoires.













